むし歯(う蝕)治療
「むし歯(う蝕)」は誰にでも起こりうる歯のトラブル。
しかし、適切な治療と予防で健康な歯を維持することができます。
当院では「できる限り歯を残す治療」に注力し、患者さま一人ひとりに合った最適なケアを提供しています。
ここでは、むし歯(う蝕)の原因や予防法、そして当院が提供する治療法について詳しくご紹介します。
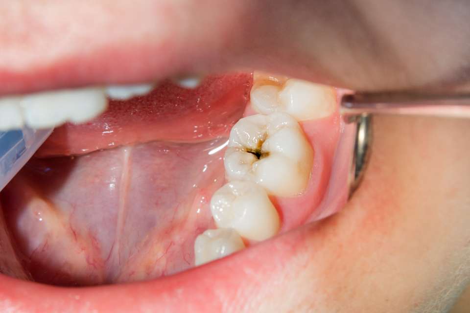
むし歯(う蝕)とは?
むし歯(う蝕)は、歯の表面を覆うエナメル質が細菌によって侵食され、進行すると内部の象牙質や歯髄(神経)に影響を及ぼす病気です。
初期段階では痛みを感じることは少ないですが、進行するにつれて強い痛みを引き起こし、最悪の場合は抜歯が必要になることもあります。
むし歯(う蝕)が進行する段階は次の通りです
初期むし歯(う蝕)
歯の表面に白い斑点が現れる。まだ痛みはなく、適切なケアで回復可能。
浅いむし歯(う蝕)
エナメル質が侵され、穴が開くこともある。冷たいものがしみることがある。
中程度のむし歯(う蝕)
象牙質まで細菌が到達し、冷たいものや甘いものがしみる。
重度のむし歯(う蝕)
歯髄に到達し、強い痛みが発生。治療が必要不可欠。
むし歯(う蝕)ができる理由
むし歯(う蝕)は、口内に存在する細菌(主にミュータンス菌)が糖分をエサにして酸を生成し、歯を溶かすことで発生します。
むし歯(う蝕)の主な原因には以下があります。
食生活の影響
甘いお菓子やジュースなど糖分を多く含む食べ物・飲み物を頻繁に摂取することで、むし歯(う蝕)菌が活発化します。
不十分な歯磨き
歯磨きが不十分だと、歯垢が溜まり、細菌が増殖しやすくなります。特に奥歯や歯と歯の間は注意が必要です。
唾液の量
唾液には歯を再石灰化する働きがあり、むし歯(う蝕)の進行を抑える役割があります。しかし、ストレスや薬の影響で唾液の分泌が減少すると、むし歯(う蝕)になりやすくなります。
むし歯(う蝕)にならないためには
むし歯(う蝕)を防ぐためには、毎日のケアと定期的な歯科診療が重要です。
当院では、むし歯(う蝕)予防のための具体的なアドバイスを提供しています。
正しい歯磨き習慣を身につける
歯ブラシの当て方や動かし方を改善することで、むし歯(う蝕)リスクを大幅に減らすことができます。
当院では、患者さまに合った歯磨き指導を行っています。
フッ素の活用
フッ素には歯の再石灰化を促進する働きがあります。
当院ではフッ素塗布を提供し、特にお子さまやむし歯(う蝕)になりやすい方におすすめしています。
食生活の改善
糖分の摂取を控え、バランスの良い食事を心がけましょう。
また、食事の後には水やお茶を飲んで口内をすすぐ習慣をつけると効果的です。
定期的なプロフェッショナルケア
歯科医院でのクリーニングは、歯磨きでは落としきれない歯垢や歯石を除去し、むし歯(う蝕)予防に非常に効果的です。
当院では予防歯科に力を入れており、定期検診を推奨しています。
むし歯(う蝕)の治療法
むし歯(う蝕)の治療は、進行状況に応じて異なります。
当院では、「絶対歯を残す治療」を基本方針としており、可能な限り天然歯を保存する方法を選択しています。
初期むし歯(う蝕)の治療
初期段階では、フッ素塗布や歯磨き習慣の改善により自然治癒を目指します。
削らずに済むケースも多く、患者さまの負担を軽減します。
中程度のむし歯(う蝕)の治療
詰め物(インレーやコンポジットレジン)を使用して、侵された部分を補修します。
当院では高品質な材料を使用し、見た目にも自然な仕上がりを提供します。
重度のむし歯(う蝕)の治療
歯髄に達したむし歯(う蝕)は根管治療が必要です。
当院では精密機器を使用し、徹底的に感染部分を除去した上で、歯を保存します。
抜歯が避けられない場合でも、義歯やインプラントなど幅広い選択肢をご提案します。
むし歯(う蝕)治療とその先へ
当院では、「保存治療を第一に考える」という姿勢を貫いています。
進行したむし歯(う蝕)の治療に関しても、「抜歯を回避する治療選択肢」を可能な限り追求します。
必要に応じて、外科的アプローチを組み合わせて治療を行うことで、保存治療の幅が広がります。
むし歯(う蝕)治療は単なる「治療」にとどまらず、その後の予防やメンテナンスが重要です。
患者さまが安心して笑顔を保てるよう、継続的なサポートを行っています。
むし歯(う蝕)は誰にとっても身近な問題ですが、適切な予防と治療で健康な歯を守ることができます。
当院では「絶対歯を残す治療」をモットーに、患者さま一人ひとりに寄り添った診療を提供しています。
むし歯(う蝕)治療や予防についてのご相談は、ぜひ当院にお任せください。
スタッフ一同、皆さまのご来院を心よりお待ちしております。
