審美歯科
-
- STEP 1検査
- 問診、レントゲン検査などを行い歯の状態を確認します。
-
- STEP 2治療
- 虫歯の進行度に合わせて、虫歯を削ったり、歯根の神経を取るなどの治療を行います。
-
- STEP 3型取り
- 制作する素材を決定していただきます。歯の型取り、噛み合わせのチェックを行います。
-
- STEP 4装着
- 完成した歯に合わせて噛み合わせや高さを調整してから、歯科用セメントで装着します。
- 保険適用にならない材料は全額自己負担のため高額になります
- 咬み合わせが強い方は欠けたり割れる可能性があります
- 割れない設計にするために詰め物や被せ物の厚みが必要なため、歯を削る量が多いことがあります
審美歯科は、歯の機能を維持しながら、見た目を美しく整える治療を行う分野です。
歯の色や形、並びを整えることで、笑顔に自信を持ち、より快適な生活を送れるようサポートします。
当院では最新の技術と素材を用いて、患者さま一人ひとりに合った審美歯科治療を提供しています。
審美歯科で輝く笑顔を手に入れましょう。
審美歯科とは?
審美歯科は「見た目の美しさ」に特化した歯科医療の一分野です。
ただ見た目を改善するだけでなく、口腔内の健康を守り、機能面も考慮した治療を行います。
審美歯科で改善できる内容
歯の色
黄ばんだ歯や変色した歯を白く輝かせます。
歯の形
欠けた歯や形が不揃いな歯を整えます。
歯の並び
部分的な歯並びの乱れを改善し、バランスの良い見た目にします。
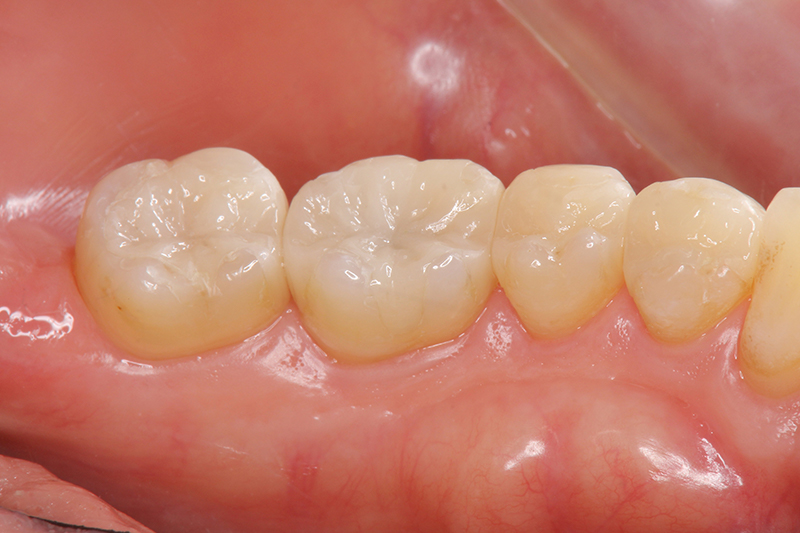
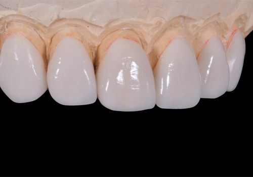
詰め物・被せ物
虫歯や歯の欠けを治療した後には、詰め物(インレー)や被せ物(クラウン)を用いて歯の形を補います。
審美歯科では、機能を回復するだけでなく、自然な見た目を重視した材料やデザインが採用されます。
天然歯の色や質感に近い素材を選ぶことで、治療箇所がわからないほど自然な仕上がりを実現します。
詰め物・被せ物が必要な場面
虫歯の治療後
歯が欠けた場合
過去の金属製の詰め物や被せ物を目立たなくしたい場合
詰め物・被せ物の材料とその違い
詰め物や被せ物にはさまざまな材料が使用されますが、保険診療と自費診療では選べる素材に違いがあります。
保険診療の詰め物・被せ物
材料
レジン(プラスチック)、金属(金銀パラジウム合金、いわゆる銀歯)、CAD/CAMブロック(セラミックとプラスチックを合わせたハイブリットレジンと呼ばれる白い素材)
特徴
費用が抑えられるが、耐久性や見た目に限界がある
デメリット
レジンは変色しやすく、銀歯は目立ちやすい
自費診療の詰め物・被せ物
材料
セラミック、ジルコニア、ゴールド
特徴
自然な見た目、耐久性に優れる、金属アレルギーのリスクが低い
デメリット
保険診療に比べ費用が高い
なぜ自費治療をおすすめするのか?
自費診療で使われるセラミックやジルコニアには、以下のようなメリットがあります。
自費の材料は初期費用が高くなるものの、長期的なコストパフォーマンスや満足度を考えると、多くの方に選ばれています。
二次むし歯になりにくい
セラミックやジルコニアは、非金属で表面が滑らかなため、細菌や汚れが付着しにくい特性があります。
そのため、詰め物や被せ物の周囲で二次むし歯が発生するリスクを大幅に軽減できます。
自然な見た目
自費診療で使用されるセラミックやジルコニアは、天然歯に近い透明感と色合いを再現できます。
光の透過性が高いため、周囲の歯と調和し、自然な見た目を実現します。
耐久性
セラミックやジルコニアは強度が高く、咬み合わせによる摩耗や割れに強いため、長期間にわたって安定した使用が可能です。
これにより、快適さと安心感が続きます。
金属アレルギーの心配がない
非金属であるセラミックやジルコニアは、金属アレルギーのリスクがゼロです。
アレルギー体質の方でも安心して使用でき、健康を守る選択肢として最適です。
変色しにくい
セラミックやジルコニアは表面が滑らかで汚れが付着しにくく、唾液や飲食物による変色の心配がありません。
白さと美しさを長期間キープできます。
詰め物・かぶせ物治療の流れ
治療期間・回数(虫歯の状態によって変わります)
治療期間 |
0.5~1ヶ月 |
治療回数 |
3~5回 |
費用 |
インレー(セラミック、ジルコニア) |
リスク・副作用 |
|
